
2 优化高新技术企业资质认定与人才引进政策衔接机制
38岁的张先生(假名)正准备禁受第17次个性化疫苗注射,热枕狂妄、景况足够的他,涓滴看不出是一位与肾上腺皮质癌反水近五年的晚期患者。“当前胃口很好,体重从120斤复兴到160斤,嗅觉免疫力也很多了!”他笑着说谈,谈话里尽是谢意,“肾上腺皮质癌是萧瑟病,没什么殊效药,我很运道来到这里,瑞金病院昂扬花心想研发改造疗法,为咱们找生路,这份付出太独特了!”
张先生是别称下层考查,2021年12月,一次惯例体检发现左侧肾上腺2.1cm占位,成为突破他安祥生存的惊雷。在当地禁受手术后,病理辅导为皮质腺瘤,劳作的他便放下心来,未按还原查。不曾想,这场看似普通的手术,仅仅这场萧瑟病反水的初始——2022年9月,体检再次发现左侧肾上腺占位,未实时诊治的病灶在一年间速即发展;2023年8月的搜检显现,肿瘤不仅复发,还出现了肝脏、腹壁、腹膜后淋奉承鬈曲,他被确诊为肾上腺皮质癌,一种发病率极低的萧瑟内分泌恶性肿瘤。从此,张先生的生存只剩下“求医”二字。
2023年10月,他再次手术切除左肾,可术后病理显现肿瘤已出现脉管癌栓和鬈曲,Ki67高达50%,意味着肿瘤恶性流程极高;2024年1月,腹膜后淋奉承和肝右叶鬈曲灶再次发达,他又禁受了第三次手术。本合计手术能阻塞病情,术后复查却依旧辅导鬈曲灶存在。
手术除外,靶向与免疫诊治的尝试也屡屡受挫。2024年2月起,张先生初始服用米托坦,并进行了消融术,病理阐明为鬈曲性肾上腺皮质癌;随后开启米托坦聚会帕博利珠单抗、安罗替尼的诊治,其中帕博利珠单抗打满10周期,安罗替尼服用近一年。2025年1月复查显现,肝脏消融区结节仍在增大,腹膜后淋奉承执续发达,他不得不禁受第二次CT教导下肝病损射频消融术。
从北京到上海,他转折多家病院,阅历三次大手术、两次消融诊治,多款药物法度尝试,肿瘤却依旧在发达。“我跑遍了宇宙病院,试过了各式行动,当时候的确很凄怨。”张先生回忆谈,“我每天齐在网上查文件找新疗法,惟有有一线守望我就昂扬试试,可这是萧瑟病,辉煌优配官网昂扬参加元气心灵的病院和大夫太少了。”
就在张先生急中生智之际,他得知瑞金病院内分泌代谢病学科针对晚期内分泌肿瘤,正在开展个体化新抗原肿瘤疫苗改造疗法。对他而言,这无疑是黯淡中的终末一束亮光,他松懈决定试一试。
“肾上腺皮质癌是萧瑟的内分泌恶性肿瘤,晚期患者诊治技术匮乏,传统外科手术与药物诊治难以阻塞肿瘤发达,张先生所患的ENSAT Ⅳ期更是已出现远方鬈曲,临床诊治难度极大。”诊治小构成员、内分泌代谢病学科主任医师叶蕾先容,这款个性化mRNA肿瘤疫苗并非通用型,而是把柄每位患者的肿瘤情况量身定制。
其中枢旨趣依托生物信息学和免疫学,先对患者肿瘤组织进行高通量测序,通过算法识别肿瘤特异性非同义突变细则新抗原靶点,再把柄靶点合成专属mRNA分子,借助脂质纳米颗粒寄递至患者体内,率领合成肿瘤特异性抗原肽,设备免疫系统精确识别并断根癌细胞,已毕精确诊治的同期,也为防护肿瘤复发提供了新旅途。
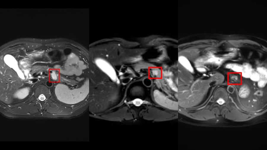
诊治前、疫苗前/后 影像图
“以患者为中心,以医学改造为各类疑难萧瑟病患者开辟生命通谈、为庶民健康添砖加瓦,一直是咱们谨守的初心和不懈的追求。”内分泌代谢病学科王卫庆主任暗示。
2023年5月,由王卫庆教化牵头的“mRNA-0523-L001(个体化新抗原肿瘤疫苗)”技俩通过病院波及东谈主体的科研伦理审批,同庚11月在ClinicalTrial完成注册并迎来首例患者。这支由10位医护构成的团队,为患者打造了一双一专属诊疗做事,每位大夫固定认真患者全程诊疗,从决议制定到疫苗注射、如期复查,每个法子齐事无巨细。
2025年4月,张先生禁受了第一次疫苗注射。因彼时体魄病弱,他并未出现预期的发烧响应,这让他满心火暴:“是不是药效不好?”当作他的专属认真大夫,内分泌代谢病学科武鲁铭大夫第一期间耐性安抚:“每个东谈主的体魄响应不同,咱们会执续监测各项意见,实时调治决议。”
宏泰配资尔后,张先生每三周注射一次疫苗。原操办九周期的诊治,因肿瘤执续减轻得以继续;完成16次注射后,他的靶病灶显然减轻,全身无新发病灶,ACTH、皮质醇等激素水平经替代诊治趋于清醒。这场改造诊治,不仅为张先生重燃生存但愿,也为肾上腺皮质癌的精确诊治开辟了新旅途。他坦言:“每次注射齐是一次告成,能陪着孩子渐渐长大,等于我最大的心愿。”
据悉,个体化新抗原肿瘤疫苗是瑞金病院与信谱生物合营研发的精确诊治技术,依托生物信息学和免疫学旨趣,通过mRNA模板设备免疫系统精确识别并断根癌细胞,为精确医疗和肿瘤复发防护提供了新旅途。
这款疫苗为定制化疗法,除了晚期肾上腺皮质癌、甲状腺髓样癌,在捎带KRAS G12V突变的晚期胰腺癌、非小细胞肺癌患者中也不雅察到权臣肿瘤缓解,还能减速胰腺癌术后无法耐受化疗患者的疾病复发。
当前,“mRNA-0523-L001(个体化新抗原肿瘤疫苗)”临床历练正在进行中,已有包括张先生在内的繁密晚期肿瘤患者从中获益。圭臬诊治失败的晚期内分泌肿瘤,且当前临床上无有用诊治技术的患者,可赶赴瑞金病院门诊进行评估。

辉煌优配官网提示:文章来自网络,不代表本站观点。